Services
Discover the diverse set of services we offer.
Click on the links to discover more about each service.
Family Dentistry
Dr. Choo recommends infants as early as one year old come for their first dental visit. It may be a quick look, a quick ride up and down in the dental chair, and an introduction of dental instruments like the mirror and explorer to help them feel at ease for future visits.
By age 2-3 yrs old, we recommend regular six month dental visits and polishing to develop good oral habits, watch for potential problems or issues, and to help familiarize the child so they are not so anxious should the need arise for dental treatments such as fillings. Our office is committed to preserving healthy primary teeth. Primary teeth do fall out eventually but they are very important to the development of chewing and speech, and hold space for permanent teeth.
By age 5, digital radiographs are often taken to assess for cavities, and development and/or presence of permanent teeth. There afterwards, radiographs are taken every one and a half to two years if cavities are not present (in cavity prone children we may require radiographs every 6-12months).
From ages 5+ we recommend regular check ups and scalings. At our office, each patient is evaluated for their individual needs. For example, a child undergoing orthodontic treatment should have scalings done every 3 months to help teeth stay clean amongst all the hardware. Patients with chronic gum disease should also have more frequent scalings to help keep the disease from destroying the bone support around teeth by removing the plaque and tartar build up.
So whether you’re breaking in your first tooth, or you’ve never had a cavity or you’ve got full dentures, we want to help develop good oral hygiene habits to last a lifetime.
Dental Innovations

Digital Radiographs provide clear full screen dental radiographs in seconds. They produce up to 70% less radiation than traditional films (one full mouth series of up to 18 digital radiographs delivers less radiation than what a person receives in one month from natural environmental sources ie. background exposure). Digital xrays can then be sent via email to other dentists and specialists for additional treatment.

Intra-oral Cameras bring what we see inside your mouth to the computer screen so you can see what we are talking about. Now you can see that broken filling, cracked tooth or tartar build up. It is especially great for educating kids towards better oral hygiene habits when they see all the plaque left on their teeth from improper brushing.
Zoom!™ Teeth Whitening brings professional teeth whitening to a higher level as seen on television shows such as Extreme Makeover. Zoom! ™ whitening produces whiter teeth in approximately one hour by using special bleaching gels activated by a blue wavelength light source. And keeping them white is easier than ever with home bleaching kits that take 15-30 minutes a day, used approximately six months after the initial treatment.
CAD/CAM (computer assisted dentistry/computer assisted machinery) brings the most advanced technological innovation to dentistry. Most of the time, in one appointment, we can fabricate permanent, beautiful, and super strong porcelain crowns, veneers, and onlays. Prepped teeth are scanned into a computer which then produces a 3D working model. Using the 3D model we design the perfect restoration to fit your mouth. The final design is then sent to a milling machine that mills out this perfect restoration from a block of compressed super strong porcelain – similar to a 3D printer. The restoration is then fired in an oven to give it extra strength and glaze that mimics the beauty and shine of natural teeth. Traditionally, these steps were done at a laboratory so patients would have to make multiple visits and spend week(s) in temporary restorations. One appointment means less missed work days and less frustration of ill-fitting or loose temporary restorations.
Soft Tissue Lasers are used to treat gum disease, re-contour gingival irregularities, help canker and cold sores heal faster, and promote better healing of dental surgeries compared to the use of a scalpel.
Cosmetic Dentistry
Chips, Gaps, and Defects:
A chipped front tooth or gaps between teeth can be very distracting to an otherwise great smile. Dark spots, staining or uneven sized teeth may diminish confidence.
Good news, these are all potentially solved in one or two visits. In most cases, white filling materials (composite resin bonding) that are matched to the shade of your teeth can fill these chips, gaps and defects, all in a single visit. Sometimes referred to as “instant orthodontics”, white fillings fill voids, reshape teeth, and even bring teeth into alignment for an instant smile improvement. For larger chips, gaps, or defects, perhaps veneers or crowns may be indicated.
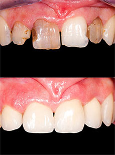
Veneers are thin porcelain shells that are bonded to the fronts of teeth, while caps or crowns cover over the entire tooth. Veneers are recommended when most of the tooth is not restored, while crowns are recommended when a lot of the natural tooth structure has been lost.
Veneers and crowns are more expensive than white fillings and may take a couple more appointments (although, with our innovative Nevo™ system, many crowns at the back of the mouth are done in one appointment). They are stronger, more color stable, and provide better esthetics. And for the difficult staining cases resistant to simple whitening, veneers and crowns are little miracles!
Missing Teeth:
A gap caused by a missing tooth or teeth can be readily solved. With only one or two teeth missing, the options to fill the space are implants, bridges, or partial dentures. For patients missing all their teeth, complete dentures or implant supported bridges and/or dentures are recommended.
Implants are titanium screws embedded into the jaw bone to act as roots of teeth. The screw is then allowed to fuse (anywhere from two to six months). Once integrated, it is built up with a crown to resemble a natural tooth. Implants are ideal if the other teeth surrounding the space are non-restored, “virgin” teeth. Implants can be a single unit or multiple units as when supporting fixed bridges or removable dentures.
Fixed Bridges are caps that bonds two or more natural teeth on either side of the lost tooth by crowning or capping each tooth, joined together by a crown in the middle. It is fixed, meaning you can not remove it, thus feeling like your own natural teeth. Economically about the cost of three or more crowns, a bridge is recommended if the adjacent teeth are also structurally weak and would also benefit from full crowning.
Partial dentures can be made of all acrylic with metal wires or of cast metal with acrylic teeth. They are held in the mouth by a combination of suctioning to the palate and ridges of bone where the tooth is lost, holding onto to remaining teeth, and by the muscles in the cheeks. These are REMOVABLE – meaning they are made to be taken out of the mouth at least once a day and especially throughout the night.
Complete dentures are acrylic dentures supported by the soft tissues of your mouth – mainly the palate, the gummy ridges where teeth used to be, and the muscles in the mouth. Good news is that many completely edentulous patients are getting as few as two implants to support a better fitting denture, or as few as four implants for a full arch fixed bridge.
Teeth Whitening:
Next to a nice pair of eyes, the first thing people notice about you is your smile. In particular, they notice how white your teeth are. Nowadays, whiter smiles are more often “created” than “genetic”.
What causes teeth to discolor?
Extrinsic Stains:
These are factors that can stain the outside layer of teeth. Poor oral hygiene, smoking, eating certain foods (eg. foods prepared with dark dyes such as soy sauce), drinking certain beverages (eg. coffee, tea, colas), and certain medications can cause extrinsic staining. Once the teeth are scaled, polished, and free of outer stains, you and your dentist can decide if your teeth’s natural inner color can benefit from the whitening process.
Intrinsic Stains:
These are factors that stain the inner layer of the teeth. The contributing factors are genetics, the aging process, accidents, and certain medications that were taken at an early age. Generally, yellowing of teeth can usually benefit from whitening, however, dark bands of brown or yellow, patches of dark spots, or a single dark tooth may be more difficult to whiten. Ask your dentist if you are a good candidate for simple bleaching, or if other means of cosmetic dentistry is better suited for your needs.
Whiter teeth in minutes:
Starting on a “clean teeth slate”, you can receive either in-office bleaching (Philips ZOOM Whitespeed™) and/or a supervised home treatment, depending on your needs. The dentist-supervised home kits are very effective as well as economical.
The in-office Philips ZOOM™ Whitening system uses professional strength bleaching solutions activated by the revolutionary Whitespeed Light. In a single one hour visit, teeth can be up to eight shades whiter.
The take-home kits consist of first making thin clear plastic mouth-guards specifically molded to your mouth. The “custom trays” are then loaded up daily with bleaching gel and worn either during the night or for minutes during the day.
We recommend bleaching the top teeth first and using your bottom teeth for comparison. You’ll be amazed with your own personal “Before and After”. Although results may vary, most people will see results within 7-10 days/nights.
Paediatric Dentistry
Kids Dentistry
Children under the age of four should have supervised brushings. And don’t forget to floss any areas where teeth are close together. Remember to bring children to see a dentist as early as one year old. First, it develops a healthy, secure, and trusting relationship with their dentist if children see a dentist prior to any treatment needs.
Second, any erupted teeth in a child’s mouth could potentially develop cavities. Dentists can check for cavities and also talk to you about good habits of brushing, snacking, and even feeding.
Oral Health for Kids
Supervise your child’s brushing and flossing. This is the only way we can be certain that the teeth are being cleaned!
- Brush with a “pea-sized” amount of a fluoride toothpaste for 2-3 minutes TWICE a day.
- Hold the toothbrush at a 45-degree angle to the teeth.
- Point the bristles to where the gums and teeth meet.
- Use gentle circles, (do not scrub).
- Clean every surface of every tooth, both front and BACKS of every tooth.
- Floss with a child's arm's length of floss wrapped around your middle fingers, leaving about 2 inches between the hands.
- Use your index fingers and thumbs to guide the floss between the teeth.
- Slide the floss between the teeth and wrap it into a “C” shape, GENTLY slide the floss slightly under the gums.
- Wipe the tooth from bottom to top 2 or 3 times, or more, until it is squeaky clean.
- Be sure you floss both sides of each tooth, and don't forget the backs of the last molars.
- Move to a new part of the floss as you move from tooth to tooth.
- For a better cleaning, floss before brushing.
Regular dental check ups are important for many reasons:
- You can find out if the cleaning your child does at home is working.
- Your dentist can find problems right away and fix them.
- Your child can learn that going to the dentist helps prevent problems.
- Your child can learn that going to the dentist is FUN and not fearful.
Jokes!
What did the vampire say after the dentist finished checking his teeth?
Fang you very much!
Why didn’t the astronaut bring her toothbrush?
She thought that the moon had no cavities!
Why did the male deer visit the orthodontist?
He wanted to get his buck teeth fixed!
When the dentist went to the fair, what did she like even better than the roller coaster?
The fluor “ride”.
Gum Therapy
Periodontal Disease
It is estimated that more than half of all adults age 35 and older have early to advanced stages of periodontal disease. Periodontal disease (PD) is the primary cause of lost teeth after the age of 35 - not dental cavities!
What is periodontal disease?
Periodontal disease is a chronic gum infection caused by plaque resulting in loss of bone support around the roots of teeth. Plaque is a thin film of bacteria that forms on teeth. Plaque converts to tartar if not cleared from teeth after 24hrs. Tartar irritates gums leaving them red, swollen and bleeding readily.
Eventually the gums peel away from teeth and create small pockets between the teeth and gums, slowly continuing to also destroy the supporting bone. Severe loss of the supporting bone is what loosens up teeth and make them incapable of functioning properly. Periodontal disease is often painless and will go undetected until bone loss is so severe that teeth are so loose they need to be extracted.
What are the signs?
Early stages:
- Bleeding gums when you brush or floss
- Red, swollen, tender gums
- Gums that have receded or shrunken away from teeth
Later stages:
- Loose teeth, or teeth that have moved, or more spacing between teeth (especially front teeth) resulting in changes in bite or in the fit of dentures
- Foul smell or taste and / or pus that can be expelled when pressing on the gums
Treatment
The best way to treat periodontal disease is by early detection and prevention. A thorough examination can tell if you are at risk. Once diagnosed with periodontal disease, one must try to prevent further loss of supporting bone and/or other teeth.
Treatment usually involves a thorough scaling and root planning to remove plaque and built up tartar, thus allowing healthy gums tissues to reattach to root surfaces of teeth. Clean surfaces of teeth must be maintained by meticulous home oral hygiene and routine check-ups and cleaning. Advances stages of periodontal disease however, may require gum surgery, grafting, and/or extractions.
Canadian Dental Care Plan (CDCP)
Dr. Choo is a participant of the new Canadian Dental Care Plan (CDCP).
The CDCP is a federally delivered public plan intended to help ease financial barriers to accessing oral health care for eligible Canadian residents. The CDCP will be rolled out using a phased approach (starting with seniors, persons with disabilities and children under 18). .
Please note that the CDCP does not provide free dental care. It is a benefit that will cover a portion of the cost for the dental services for those who qualify need. This means that depending on their adjusted net family income, eligible patients may have to make a co-payment (that is, pay for part of their dental care under the CDCP).
For reference, Patients may be required to make a co-payment (that is, pay for a portion of their dental care under the CDCP) depending on their adjusted family net income, as follows:
- no co-payment of the CDCP benefit for those with an adjusted annual family net income under $70,000.
- a 40 per cent co-payment of the CDCP benefit for those with an adjusted annual family net income between $70,000 and $79,999.
- a 60 per cent co-payment of the CDCP benefit for those with an adjusted annual family net income between $80,000 and $89,999.
For more information, including eligibility, how to apply, as well as what services and how much will be covered, please refer to the following link: https://www.canada.ca/en/services/benefits/dental/dental-care-plan.html or contact Service Canada at 1-833-537-4342 (TTY: 1-833-677-6262).
Please feel free to contact our staff for help understanding your coverage under the new CDCP.